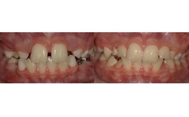
Please review before and after pictures of patients treated in our practice.
GETTING STARTED WITH INVISALIGN
If Invisalign sounds like it is the right fit for you, call or text us to set up a complimentary consultation. During this consultation, Dr. Lints and team will:
- 1. Review your dental and medical history
- 2. Perform a complete oral exam
- 3. Help you determine if Invisalign is the best route for you
- 4. Create you a customized treatment plan with before and after simulation
- 5. Discuss flexible payment plan options and insurance benefits if applicable
